
If you’ve been feeling less than confident about your smile, our strong porcelain or composite dental veneers are a popular option for correcting small imperfections almost instantly. Sometimes called tooth veneers, these fixed devices seal the front surface of the teeth for a natural looking smile that can appear whiter, more aligned and beautiful. If you’re looking for a simple solution to a nagging cosmetic issue in your teeth, call us today at 860-628-5029 and say hello to a radiant new smile!

Veneers Before

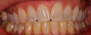
Veneers After

Veneers Before

Veneers After

Veneers are colormatched porcelain or composite resin shells that are cemented to the front of the teeth with little or no use of anesthesia. Less invasive than dental crowns, this painless process involves removing a thin layer of the front tooth enamel and creating an impression of the teeth that will support a new veneer or veneers. After deciding on their proper color, shape and size the custom veneers are made and secured into place. Veneers can last anywhere from 10 to 15 years with proper care and have a number of benefits:

Porcelain veneers from Dr. Salesky are a great way to enhance your smile if you’re in Southington, Plantsville or Wolcott. In just a few quick appointments, veneers can cover up cosmetic issues like stains, gaps, minor chips, misshapen teeth, and more.
If you’re still not sure whether veneers are right for you, check out these FAQs and feel free to call our team to discuss your dental health needs!
Yes. During the veneer placement process, Dr. Salesky will remove about 0.5mm of enamel from each tooth that will be receiving a veneer. This is done to ensure that the veneers fit perfectly onto your teeth and look completely natural. However, it also means that the process is permanent and irreversible.
Usually, it takes two 1-2 hour appointments over a span of about 3 weeks to have your veneers placed and built. During your initial appointment, your teeth will be prepared for veneers, then impressions and images will be taken of your teeth.
This information is sent to a dental lab where your veneers will be created. Once we’ve received your permanent set of veneers, you’ll come in for your second appointment and Dr. Salesky will bond them into place permanently.
No. Porcelain is a non-porous material, so you do not have to worry about stains. However, your surrounding teeth and the material used to attach your veneers can still become stained, so it is critical to brush and floss properly to help prevent this. You should also stop smoking or using oral tobacco to prevent discolorations.
With proper care, veneers can easily last 10-15 years, making them a good long-term investment in your dental health and the appearance of your smile. In addition, if one of your veneers breaks, cracks, or becomes dislodged, it’s quite easy to re-attach or create a new veneer.
Simply brush 2-3 times per day and floss once per day, and remember to see Dr. Salesky every six months for a cleaning and oral exam. Additionally, you should wear a night guard if you grind or clench your teeth, and avoid chewing extremely hard or non-food objects with your veneers.
The cost of veneers varies because this is highly depending on how many veneers you need and which teeth will be receiving veneers. To get an accurate estimate of the cost of your treatment, visit Dr. Salesky for a cosmetic consultation.
We understand that the decision to get cosmetic dental treatment can feel intimidating, so we are here to help every step of the way. If you have questions or concerns, we’ll discuss your goals in detail and offer honest advice about cosmetic treatment. To schedule your appointment, contact us at (860) 628-5029, or stop by our office at 15 Cornerstone Ct #3a, Plantsville, CT 06479.
Proudly Serving Plantsville, Milldale, Marion, Bristol, Plainville, New Britain, Berlin, and surrounding cities in Connecticut