
At Southington Dentistry, we strive to improve the lives of each of our patients using the best services available in modern dentistry. Scroll below to view some of our before and afters, or contact our office at (860) 263-0401 to schedule a consultation!
With dental veneers patients have the option to fix small gaps between the teeth, repair small chips or stains, and make small changes in the smile to produce dramatic results. To learn more, check out or veneers page. We also offer professional teeth whitening.









Strong, removable overdentures complete the smile with a natural look and function after tooth decay, tooth loss or a dental injury has changed your smile. If you need to replace one or more missing teeth or have questions about dentures in Plantsville, check out our dentures page.



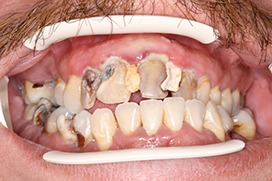
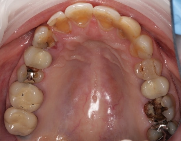
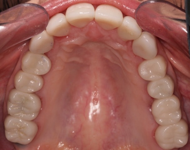
Dental implants and crowns are highly versatile for patients who wish to improve their health and smile after suffering from one or more broken down or damaged teeth. Check out our dental crowns or dental implants page to learn more about restorative dentistry in Plantsville.


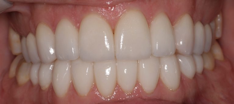
We’ve used beautiful dental crowns to repair weak, decayed and broken teeth and to fill dark spaces between the teeth. Check out our cosmetic dentistry page to learn more!

This patient received personally crafted dental crowns to support a full smile with radiant teeth!

Dental bonding has dramatically improved this patient’s smile by making small adjustments to reshape the teeth, whiten your smile and repair small pits, chips or fractures. View our cosmetic dentistry page to learn more!

Learn more about dental implants and implant supported bridges by checking out our dental implant page or reaching out to our office to book your appointment!
Have you heard about drill-less dentistry at Southington Dentistry? Using a fine powder applied under pressure, cavities and tooth decay are effectively removed and a white, tooth-colored filling is blended into place. Teeth are fixed with no needles, no drills and no pain! Ask us about how we can use drill-less dentistry at your next appointment.
Featured below are a few of our remarkable Six Month Smile smile makeovers!

Proudly Serving Plantsville, Milldale, Marion, Bristol, Plainville, New Britain, Berlin, and surrounding cities in Connecticut